In the busy retina clinic, technology and imaging are such an intricate part of patient care to help diagnose and manage the spectrum of retinal diseases. They have become so important that their utilization is standard of care in both retina and ophthalmology in general. Our imaging technologies lead to earlier detection, which often results in a less aggressive disease overall, less treatment needed in the long run and a much better outcome where we can preserve and perhaps even improve vision.
It is important to not rely on a single technology in the clinic, and we are fortunate to live at a time that our technological advances have integrated seamlessly into our clinical management of retinal diseases.
Two pillars of the imaging revolution are optical coherence tomography (OCT) and ultra-widefield fluorescein angiography (FA). While it is simplistic to view these modalities as separate entities, I believe these imaging technologies are complementary and even symbiotic in nature. Additionally, I would recommend adding a third adjunctive pillar: artificial intelligence and telemedicine. For example, with the ForeseeHome (FSH) device (Notal Vision) we have a viable option for consistent, accurate monitoring and early detection in AMD. FSH is a great technology that allows me to catch wet AMD early in the conversion process.
The combination of OCT, FA and adjunctive telemedicine/artificial intelligence gives our retina patients the best possible outcomes so they can live their lives to the fullest.
DIAGNOSTIC TECHNOLOGY OVERVIEW
OCT and FA
OCT and ultra-widefield FA are the key diagnostic tools for the retinal specialist They ultimately provide the critical clinical clues to correctly diagnose and treat the entire spectrum of retinal diseases. The relationship between these modalities is symbiotic: OCT allows the clinician to obtain the anatomical features of the retina while ultra-widefield FA provides the physiological processes of the retina. Thus, retinal structure and function can be precisely assessed within moments in the clinic.
While some retinal conditions can be analyzed and accurately diagnosed/managed with either solely OCT or FA, the combination of these modalities in certain clinical situations is paramount and allows the retinal specialist to explore the status of the retina completely.
ForeseeHome
FSH is a great technology that allows me to catch wet AMD early in the conversion process. Prior to utilizing this device, I did not have many options for monitoring my patients with AMD. They were generally put on the Age-Related Eye Disease Study 2 (AREDS2) vitamin formulation and instructed to not smoke, maintain a good diet, exercise regularly and utilize sunglasses. In addition, they also were given an Amsler grid to self-monitor for any vision changes.
However, predicting which patients will progress to wet AMD and when this would happen is a challenge. While the Amsler grid has helped many patients since its development, its ability to detect change is inconsistent. Additionally, by the time the patient notices a significant difference in his or her own visual acuity, severe and potentially irreversible damage might have already transpired.
With FSH, patients and doctors do not need to rely solely on utilizing a lined piece of paper to prompt recognition of visual acuity changes. Now, we have a more objective, reliable tool that can detect minute changes and directly alert us when there are significant changes in vision and retinal anatomy. Once an alert is issued, we can schedule an immediate follow-up appointment and perform an examination to confirm CNV.
The cases below highlight the clinical utility of FSH and the importance of remote vision monitoring, combined with excellent communication between physician and patient to provide amazing clinical care for the best possible visual outcome for patients.
CASE STUDY EXAMPLES
Case 1
The best way to illustrate the value of these technologies is with patient case examples.
The first case was a 75-year-old female (J.B.) with a history of wet AMD in her left eye (being treated with intravitreal Eylea [Regeneron]) and intermediate dry AMD in her right eye. Her visual acuity was 20/30 OD at baseline.
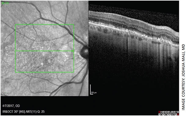
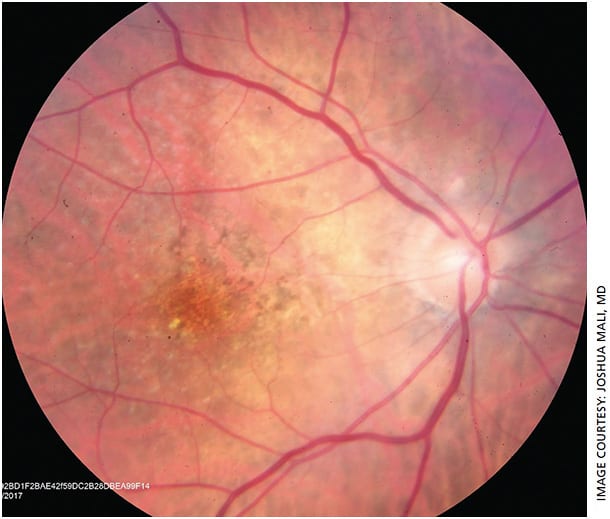
When a FSH alert was triggered, I instructed J.B. to come to the office as soon as possible for an evaluation even though she was asymptomatic. Upon examination of the patient (Figure 1), she was still 20/30 OD and OCT (Figure 2) had borderline findings. However, a small choroidal neovascular (CNV) membrane was confirmed on FA (Figure 3).
Of note, the location of the CNV was just temporal to the optic disc and therefore not involving the central macula at this point. Consequently, the patient was asymptomatic, and the conversion to wet AMD was confirmed solely with clinical examination and additional testing with both OCT and FA. Intravitreal Eylea treatment was initiated, and the patient is currently 20/25 OD.
FSH was critical in bringing this patient into my office for evaluation, and allowed for prompt management. As this patient was already receiving treatment for wet AMD in her fellow eye, she knew the stakes were high and was very happy for the early detection saving her sight.
Case 2
The next patient was a 78-year-old female (J.R.) with a history of wet AMD in her right eye (being treated with intravitreal Eylea) and intermediate dry AMD in her left eye. Her left eye baseline visual acuity was 20/40. Of note, J.R. typically spends 6 months in Sarasota, Fla., and 6 months in Cincinnati, Ohio. When an FSH alert occurred in her left eye, she was completely asymptomatic and was at that time still in Cincinnati. After analyzing her FSH report (Figure 4), I immediately arranged for J.R. to be evaluated in Cincinnati. Her vision was still 20/40 OS, but on dilated fundus exam there was the presence of sub-retinal fluid and sub-retinal hemorrhage noted in the macula OS.
The patient received her first anti-VEGF injection OS in Cincinnati then returned to Sarasota, where I have continued her treatment regimen. J.R. has maintained her 20/40 vision OS due to prompt response to the FSH alert, excellent communication between doctor and patient and early initiation of anti-VEGF treatment.
CONCLUSION
In these case examples, a team approach with all three pillars of technological advances (OCT, ultra-widefield FA and artificial intelligence/telemedicine) was critical to diagnosing these patients and allowing delivery of the optimized treatment strategy.
As founder and CEO of Mali Enterprises and a vitreoretinal surgeon, I am honored that I am able to successfully provide the most cutting-edge technology and imaging like OCT, FA and FSH to my patients, which are essential to producing the best possible visual outcomes for my incredibly successful retina practice. OM







