Case study: A day in our lives
Evaluating anti-VEGFs in real-life situations.
By Nitish Mehta, MD
This case is the first of regular contributions from NYU residents based on Grand Rounds at NYU Langone Medical Center. We are pleased to present these cases to the Ophthalmology Management readership, and look forward to feedback.
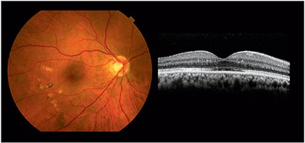
A 50-year-old type 2 diabetic male on insulin is referred to our busy inner-city public clinic by his family doctor for a routine annual diabetic retinopathy screening. In the examination lane, the patient’s vision is measured 20/60 OD with correction; ophthalmoscopy identifies moderate non-proliferative diabetic retinopathy with a flush circinate ring of hard exudates just inferior to the fovea. Spectral-domain optical coherence tomography (SD-OCT) reveals diffuse central edema with large cystic spaces.
The patient, insured through Medicare, took a day off from work to travel more than an hour on public transportation to arrive at the public clinic. The patient is treatment naïve and apprehensive about the treatments he may need and the costs he may incur. Our clinic routinely carries the least expensive of the “Big Three” anti-vascular endothelial growth factor (anti-VEGF) treatments, but the staff is experienced in enrolling patients in assistance programs.
Which drug would you reach for first? Do results from the Year 2 Protocol T (Diabetic Retinopathy Clinical Research Network (DRCRnet)) influence your opinion? Is anti-VEGF treatment alone appropriate in this case?
Figure 1. Color fundus photo of a 50-year-old type 2 diabetic male with diabetic macular edema and the corresponding SD-OCT scan through the fovea.
The RISE of anti-VEGF to RESTORE sight
Diabetic macular edema (DME) is a common, complex sequela of systemic diabetes. Hyperglycemia and systemic inflammation, caused by diabetes mellitus, lead to local retinal hypoxia, capillary non-perfusion and up-regulation of cytokines and growth factors such as VEGF.1,2
In DME in particular, the anti-VEGF studies supporting the use of intravitreal injections of medications have largely been industry-sponsored and designed as non-inferiority trials against macular laser therapy. The parallel RISE/RIDE studies of 2010 were used to gain FDA approval for use in DME by demonstrating efficacy and safety of monthly 0.3 mg and 0.5 mg ranibizumab (Lucentis, Genentech) with rescue macular laser available at three months. The trial suggested identical efficacy of the two doses’ significance.3 The RESTORE trial demonstrated superiority of ranibizumab +/- macular laser over laser monotherapy.4 A group of investigators from the United Kingdom formally established bevacizumab superiority over macular laser in the 2012 BOLT study.5 Regeneron’s Eylea (aflibercept) demonstrated superiority with 2.0 mg of monthly injections over macular laser in the Phase II DA VINCI trial.6 Further characterization of aflibercept’s efficacy was demonstrated in the parallel VISTA/VIVID trials; the specific regimen tested was five initial monthly injections followed by either every four-week or every eight-week injections.7
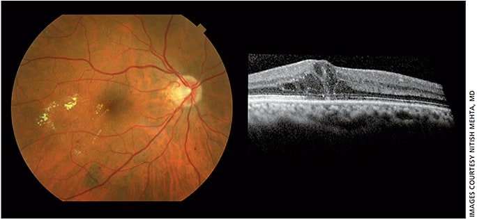
Figure 2. Post-focal laser color photograph and foveal SD-OCT image.
Recent updates: The battle of the “Big Three”
Because no pharmaceutical company had interest running head-to-head comparison trials, a consortium of U.S. retinal practitioners assembled the National Institutes of Health-sponsored DRCR.net. Its purpose: to advance understanding of the treatment of diabetic retinopathy. One arm of its large study, Protocol T, directly compared aflibercept, bevacizumab and ranibizumab, bringing to DME what the Comparison of AMD Treatment Trial brought to AMD. The ‘Year 1’ results were released in early 2015 and are well known to the retina community. In short, eyes with mild macular edema and vision less than 20/50 EDTRs were found to benefit equally from all three agents. However, eyes with 20/50 or worse vision appeared to respond better to aflibercept.8 This is considered practice-changing data; the general consensus now is that advanced cases of DME should ideally receive aflibercept.
Protocol T: a closer look
Other critical — meaning both important and discerning — elements of Protocol T deserve close scrutiny. The ranibizumab dosage was 0.3 mg, the only FDA-approved dose for DME. However, there is interest in comparing 0.5 mg ranibizumab to aflibercept. There is concern that repackaged bevacizumab delivered in prefilled plastic syringes may be of lower quality than bevacizumab in the original manufacturer’s glass vial.9 Original glass vials were used in Protocol T, which does not match the current practice pattern; most retina practitioners in the United States receive bevacizumab in the repackaged format. It is also worthy to note that few to no practitioners assess visual acuity by the Early Treatment Diabetic Retinopathy Study (ETDRS) method, limiting the study’s external validity.
On a more positive note, Protocol T was specifically designed so that it could influence practice patterns. The investigators did not incessantly continue injections until the macula was dry. If the patient had less than a 5 EDTRS letter change or if there was less than a 10 percent change in thickness even with persistent edema (after the first mandatory six monthly injections) they could defer giving injections. The investigators found they could defer injections for all three drugs in Year 2 (more frequently in the aflibercept arm), which is an important cost and patient adherence consideration. The protocol allowed for focal macular laser, which although not as frequently discussed, likely had a very large impact on the study.
In Year 2, aflibercept and ranibizumab demonstrated continued superiority over bevacizumab in the poorer-vision cohort. However, differences among the medications appear to have softened. For example, the percentage of patients gaining > 10 EDTRS letters over two years was only seven percent higher in the aflibercept cohort versus the ranibizumab cohort. Bevacizumab, the favorite given its lower cost, managed to demonstrate relative efficacy, although within the context that 64 percent of patients receiving it also received macular laser.10 Welcome was the news that all three medications required fewer visits during the second year.
Case discussion: How does this apply to real life?
As practitioners in a busy New York City public hospital, we often do not have easy access to ranibizumab or aflibercept. The patient population is disease burdened with poor medical fluency, and most present with worse than 20/50 vision. We find that patients are frequently lost to follow-up upon escalation of injection frequency due to copayment burden and loss of time at work. Year 1 results were concerning as we felt we may not be serving our patients fully with bevacizumab. Year 2 results seem to help validate a bevacizumab-only paradigm in our patient population, but with some caveats:
• First and foremost, patient-centered care is very important. In this case, we coordinated with the patient’s primary care physician to enroll him in Spanish-speaking diabetic education classes near the patient’s home. We planned with central scheduling to ensure the patient made the most of his time off work by combining our visits with his other appointments at the hospital.
• Second, care must be taken to ensure that no microaneurysms (MAs) are left untreated. As previously mentioned, 64 percent of patients who received bevacizumab required focal laser therapy. If we wish to achieve similar results to the Protocol T studies, all patients should receive fluorescein angiography and leaking MAs should be addressed promptly. If the patient is not responding to repeated injections, the dye study should be repeated.
• Third, consider diversifying the treatment regimen with implantable or injectable corticosteroids.11
• Four, Protocol T can help change the practice of treating the macula until the OCT shows it to be “dry.” Observing and extending patients’ treatments when their disease is stable can greatly increase patient adherence and result in favorable long-term outcomes, instead of subjecting a busy, working-age patient population to frequent clinic visits and injections.
Injections can be utilized as monotherapy in the majority of patients. However, if a patient exhibits stubborn refractory edema, a sizable microaneurysm or a cluster of microaneurysms with a circinate ring of hard exudates, one application of light focal laser to occlude the lumen can resolve what a series of injections cannot do. Moreover, this approach may save the patient from increasing cumulative risk of subconjunctival hemorrhage, ocular discomfort, endophthalmitis, retinal detachment, IOP elevation and other injection-related adverse events.
In conclusion, our patient received six monthly injections of bevacizumab, one focal laser therapy treatment, further diet/lifestyle modifications, and optimization of his insulin regimen. He returned to clinic eight months later with 20/25 OD vision and a CST less than 275 mm. In clinical settings with reduced socio-economic means, bevacizumab therapy with careful macular laser may be an appropriate treatment choice for DME. OM
REFERENCES
1. Ding J, Wong TY. Current epidemiology of diabetic retinopathy and diabetic macular edema. Curr Diab Rep. 2012;12:346-354.
2. Virgili G, Parravano M, Menchini F, Evans JR. Anti-vascular endothelial growth factor for diabetic macular oedema. Cochrane Database of System.atic Reviews 2014, Issue 10. Art. No.: CD007419. DOI: 10.1002/14651858.CD007419.pub4.
3. Brown DM, Nguyen QD, Marcus DM, et al. Long-term outcomes of ranibizumab therapy for diabetic macular edema: the 36-month results from two phase III trials: RISE and RIDE. Ophthalmology 2013;120:2013-2022.
4. Elman MJ, Bressler NM, Qin H, et al. Expanded 2-year follow-up of ranibizumab plus prompt or deferred laser or triamcinolone plus prompt laser for diabetic macular edema. Ophthalmology. 2011;118:609-614.
5. Rajendram R, et al. A 2-year prospective randomized controlled trial of intravitreal bevacizumab or laser therapy (BOLT) in the management of diabetic macular edema: 24-month data: report 3. Arch Ophthalmol. 2012 Aug;130:972-979.
6. Do DV, Nguyen QD, Boyer D, et al. One-year outcomes of the daVinci Study of VEGF Trap-Eye in eyes with diabetic macular edema. Ophthalmology. 2012;119:1658-1665.
7. Brown, et al. Intravitreal Aflibercept for Diabetic Macular Edema: 100-Week Results From the VISTA and VIVID Studies. Ophthalmology. 2015 Oct;122:2044-2052.
8. The Diabetic Retinopathy Clinical Research Network. Aflibercept, bevacizumab, or ranibizumab for diabetic macular edema. N Engl J Med. 2015;372:1193-1203.
9. Kamali, et al. Quality of bevacizumab compounded for intravitreal administration. Eye (Lond). 2013; 9: 1090-1097.
10. Wells JA, Glassman AR, Ayala A, et al. Aflibercept, bevacizumab, or ranibizumab for diabetic macular edema: two-year results from the comparative effectiveness randomized clinical trial [published online ahead of print February 27, 2016]. Ophthalmology.
11. Boyer DS, Yoon YH, Belfort R Jr, et al. Three-year, randomized, sham-controlled trial of dexamethasone intravitreal implant in patients with diabetic macular edema. Ophthalmology. 2014;121:1904-1914.
About the Author | |
| Dr. Mehta is a first-year resident at New York University School of Medicine, New York University Langone Medical Center Department of Ophthalmology, New York City. |







