The trouble with scleritis? Just ask
Its inflammation can be serious; it can take different forms — even appear in different spots.
By Vanessa Caceres, Contributing Editor
Scleritis, an inflammation of the eye’s scleral tissues, can be clinically delicate to manage. It has several different forms with a variety of underlying causes, some of which can be serious if not properly diagnosed and treated. In severe cases, scleritis can lead to blindness.
Also, scleritis might be the initial or the sole presenting clinical manifestation of potentially fatal inflammatory and systemic disorders, says Gaston O. Lacayo, III, MD, Center for Excellence in Eyecare, Miami. So, scleritis patient care often involves collaboration between ophthalmologists and other specialists, especially rheumatologists.
Figure 1. Slit-lamp appearance of necrotizing scleritis in a patient with underlying Wegener’s granulomatosis.
“The ophthalmologist needs to screen patients with scleritis for systemic symptoms and refer to rheumatology for further workup or treatment [for those] with a suspicion of autoimmune diseases,” says rheumatologist Anca Askanase, MD, founder and clinical director, the Lupus Center at Columbia University Medical Center, New York. “The rheumatologist needs to refer patients with red or painful eyes for a complete ophthalmological evaluation. Investigations and treatment should be carried out jointly.”
Getting down to scleritis basics
Several types of scleritis exist. It can appear in different areas of the sclera with different levels of inflammation severity. As a rule of thumb, scleritis occurs in both eyes about half the time; recurrences are common, Dr. Askanase says. A scleritis prognosis usually depends on the underlying systemic disease.
Anterior scleritis types are diffuse, nodular or necrotizing, with or without inflammation, says Dr. Lacayo.
The most common clinical forms are diffuse scleritis and nodular scleritis. The third, necrotizing scleritis, is less common, but it’s more ominous and frequently associated with systemic autoimmune disorders. In fact, patients with rheumatoid arthritis (RA) get a specific kind of necrotizing scleritis called scleromalacia perforans that is not very painful but is accompanied by a significant thinning and necrosis of the sclera, according to Esen K. Akpek, MD, Bendann Family Professor of Ophthalmology and Rheumatology, and associate director, Johns Hopkins Jerome. L. Greene Sjögren’s Syndrome Center, The Wilmer Eye Institute at Johns Hopkins, Baltimore. This entity used to be known as necrotizing scleritis without inflammation. Patients with necrotizing scleritis tend to have worse outcomes.
Posterior scleritis is commonly overlooked and mostly characterized by the flattening of the choroid, sclera and retrobulbar edema, Dr. Lacayo says. Dr. Akpek points out that posterior scleritis can negatively affect vision. It also can be difficult to diagnose, as it is not always seen during a slit lamp examination.
A tricky bit
Physicians must also make the distinction between scleritis and the more benign episcleritis. “The redness in episcleritis is a brighter red, and in scleritis, it’s more bluish red,” Dr. Akpek says. “Also, with the exam, there’s scleral edema and deep episcleral vascular engorgement with scleritis.”
“Another sign with episcleritis is that the blood vessels blanch with phenylephrine, but the deeper vessels affected by scleritis do not,” adds Dr. Askanase.
Scleritis symptoms
The symptoms of scleritis coincide with myriad eye problems. “It’s mostly redness and eye pain,” Dr. Akpek says. “The patients might get blurred vision if the posterior sclera is involved. Sometimes the inflammation spills over to the anterior chamber, causing uveitis. That also can cause blurred vision.”
Eye pain can be so bad at night that the patient has trouble sleeping, says rheumatologist Elyse Rubenstein, MD, Providence Saint John’s Health Center, Santa Monica, Calif.
Headaches and photophobia are other possible symptoms. Yet, a differential diagnosis isn’t always easy. These same symptoms can accompany conjunctivitis, iritis, keratitis and uveitis, among other ocular disorders, Dr. Rubenstein says.
Slit lamp examination detects the intraocular inflammation in scleritis and assesses severity. CT scan, MRI and ultrasound are sometimes necessary to help determine the extent of involvement and to make a differential diagnosis, Dr. Askanase says.
The rheumatology connection
About half of scleritis patients have associated rheumatological disease.
“Scleritis can occur in a number of systemic inflammatory diseases, more often in patients with an established diagnosis who develop ocular symptoms and are diagnosed by an ophthalmologist,” says rheumatologist Christopher Wise, MD, professor, internal medicine, Virginia Commonwealth University, Richmond.
As RA is the most common form of chronic inflammatory arthritis seen by a rheumatologist, that’s also the condition most often associated with scleritis, particularly in patients with severe RA, Dr. Wise says. Still, as the field of rheumatology now has better RA therapies available, he believes the number of RA-associated scleritis cases is dwindling.
Other rheumatological conditions associated with scleritis include inflammatory arthropathies, lupus and related autoimmune diseases and systemic vasculitis. Sjögren’s syndrome is an underdiagnosed condition that can be associated with scleritis, Dr. Akpek says. In fact, Sjögren’s syndrome is the most common autoimmune disease found in adults, which includes an estimated 4 million people in the United States, according to the Sjögren’s Syndrome Foundation. But Sjögren’s syndrome is much less known and appreciated than RA, Dr. Akpek says.
Cases of scleritis associated with previously undiagnosed Wegener’s granulomatosis are important to catch as they can be fatal if not treated, says John D. Sheppard, MD, president of Virginia Eye Consultants, and professor of ophthalmology, microbiology and molecular biology, Eastern Virginia Medical School, Norfolk, Va.
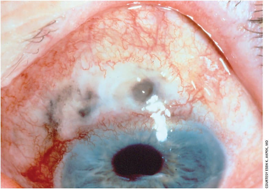
Figure 2. Slit-lamp appearance of a patient with anterior sectoral scleritis in the setting of underlying Sjogrens’ syndrome.
In fact, a retrospective review of patients who had scleritis and Wegener’s disease found that most patients presented with sudden onset, bilateral and diffuse anterior scleral information.1 Although vision loss was similar compared with others who had scleritis, the Wegener’s patients had more severe pain. “Necrotizing scleritis and corneal involvement were more commonly observed...than in idiopathic scleritis, and other autoimmune diseases and are often the presenting feature of the disease,” the authors wrote. They concluded that the presence of these symptoms should prompt more aggressive treatment.
In addition to rheumatological diseases, infections like tuberculosis, syphilis and Lyme disease all can be underlying causes of scleritis, Dr. Sheppard says. One study showed that infectious causes make up 7% of scleritis cases, with the most common infectious cause being shingles.2
Treatment
Quick diagnosis and treatment of scleritis are essential to avoid debilitating visual consequences. “Corneal melts and scleral perforations are sight-threatening sequelae of uncontrolled scleritis,” Dr. Lacayo says. “The correct and rapid diagnosis and the appropriate systemic therapy can halt the relentless progression of both ocular and systemic processes.”
Treatment for scleritis depends on the identifying source of systemic inflammation with laboratory workup. Systemic or oral nonsteroidal anti-inflammatory drugs (NSAIDs), systemic steroids and immunosuppressive agents such as methotrexate, mycophenolate and azathioprine, are part of the treatment combination, Dr. Lacayo says.
Physicians must know if a patient has glaucoma or a previous ocular herpetic infection, as well as renal, gastric, hepatic, hematologic or tuberculous disease, as those conditions can limit the treatment options, such as when certain medications cannot be used together, Dr. Sheppard says.
If the cause of scleritis is unknown, first-line treatment often is oral NSAIDs. Although many NSAIDs are available, some of them costly, Dr. Sheppard finds that over-the-counter naproxen (Aleve, Bayer) is as good as any. He will prescribe 220 mg to 440 mg, three times a day with meals.
If scleritis is associated with an underlying disease, then treatment of that disease must also come into play. For example, if there is underlying collagen vascular disease, immunosuppression may be required. “In general, controlling the systemic disease results in control of the ocular inflammation,” Dr. Askanase says. Sometimes, biologic drugs are needed in stubborn cases.
According to Dr. Sheppard, one treatment approach tried more recently for scleritis is a periocular sub-Tenon’s injection of triamcinolone acetonide (Kenalog, Bristol-Myers Squibb). “That works well in recalcitrant cases,” he says.
Future care
Despite no new scleritis-specific treatments on the horizon, adalimumab (Humira, AbbVie) is on the cusp of being approved for uveitis, Dr. Sheppard says — he finds that uveitis treatments are often effective for scleritis patients. “This condition always takes a back seat to uveitis, but a lot of companies are investigating uveitis to the potential benefit of our scleritis patients.”
A January 2016 retrospective study in the American Journal of Ophthalmology found that rituximab (Rituxan, Genentech), a drug used in certain cancer patients and in autoimmune diseases, was effective in treating noninfectious scleritis in difficult-to-treat cases.3 One adverse effect took place — infusion hypotension that led to the cessation of rituximab.
A cross-collaboration
In the most common scenario, a patient with scleritis presents to an ophthalmology clinic, not to the rheumatologist; these patients should promptly be referred for rheumatological examination, Dr. Akpek says.
Another common scenario is a scleritis patient who presents to the ER and receives topical antibiotics. The patient then shows up weeks later to the ophthalmologist or rheumatologist in bad condition, Dr. Sheppard says.
Ophthalmologists usually are pro-active about referring scleritis patients with no previous history of systemic disease to rheumatologists for evaluation. That’s because scleritis could be the first sign of any of the aforementioned rheumatological diseases, Dr. Sheppard says. Ophthalmologists also will refer to rheumatologists if they make the diagnosis of a related disease during workup, if a patient is not responding to therapy, or if a patient experiences side effects from certain medications.
Rheumatologists begin their examination of scleritis patients with a careful history and physical exam, with an emphasis on the musculoskeletal, dermatologic, cardiopulmonary, upper airway, neurologic and renal systems, says Dr. Wise. Initial lab studies include complete blood count, serum chemistries, inflammatory markers, a chest X-ray and a battery of serologic tests for RA, lupus and related diseases.
“The serologic studies are often helpful if positive, even in patients without obvious clinical features of an underlying disease, since scleritis can be the initial manifestation of the condition,” Dr. Wise says.
Ophthalmologists need to remember, Dr. Rubenstein says, that patients who come to them first with this disease must be referred to a rheumatologist — just as rheumatologists need to monitor patients’ ocular health. OM
REFERENCES
1. Cocho L, Gonzalez-Gonzalez LA, et al. Scleritis in patients with granulomatosis with polyangiitis (Wegener). Br J Ophthalmol. 2015 Nov 13. [epub ahead of print]
2. Akpek EK, Thorne JE, Qazi FA, Do DV, Jabs DA. Evaluation of patients with scleritis for systemic disease. Ophthalmology. 2004;111:501-506.
3. Cao JH, Oray M, Cocho L, Stephen Foster C. Rituximab in the treatment of non-refractory scleritis. Am J Ophthalmol. 2016 Jan 4. [epub ahead of print]







