Focus on Diagnostics
Anterior-segment OCT in glaucoma management
Gaining a clearer picture of the angle and IOP than traditional methods.
By Syril K. Dorairaj, MD, and Michael W. Stewart, MD
Since anterior segment OCT (AS-OCT) was introduced in 2006, clinicians have frequently used it to gather data for a multitude of patient presentations. Increasingly, ophthalmologists have used AS-OCT to gather data for evaluating glaucoma and monitoring its progression.
Measuring central corneal thickness (CCT) is important for monitoring glaucoma progression in patients with ocular hypertension and primary open-angle glaucoma, and correcting IOP measurements made by Goldman applanation tonometry.1
This second of two articles on AS-OCT reviews the role AS-OCT has in evaluating the angle, post-SLT blebs and secondary glaucomas.
EVALUATION OF THE ANGLE
Primary angle closure (PAC) is the leading cause of glaucoma-related blindness in East Asians.2 To make this diagnosis, the examiner must evaluate the anterior chamber angle (ACA) and its inlet in darkness to determine the risk for closure.
Drawbacks of gonioscopy and UBM
Gonioscopy is the standard for evaluating the ACA, but its drawbacks include subjective and semi-quantitative assessment methods, need for illumination, inter-examiner variability, and its inability to determine angle configuration when the goniolens contacts the cornea directly.3,4
Ultrasound biomicroscopy (UBM) provides valuable information about ACA configuration and allows detailed imaging of the ciliary body and the posterior chamber, but it requires close-contact immersion.
Benefits of AS-OCT
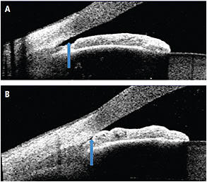
Non-contact AS-OCT visualizes spatial relationships within the anterior segment and objectively measures the ACA. In addition, the infrared laser combined with the real-time eye position monitor permits the precise capture of angle morphology in the dark. Darkroom conditions are imperative in angle imaging to increase the detection of angle closure (Figure 1).
Figure 1: Anterior chamber angle imaged with AS-OCT. Block arrows show an open angle in lighted conditions (A) and closure of the angle in darkness (B).
With higher scanning speed (8 frames/sec), SL-OCT provides quantitative, spatial information regarding dynamic changes of the angle configuration, which standard gonioscopy and UBM cannot visualize. Swept-source OCT has been used to successfully view the anterior chamber drainage angle (Schlemm’s canal, trabecular meshwork and iris configuration).5
In plateau iris, large and/or anteriorly situated ciliary processes obliterate the ciliary sulcus so that the ciliary body supports the iris against the trabecular meshwork. A recent study used indentation AS-OCT to evaluate plateau iris and other causes of angle closure.6
POST-TRABECULECTOMY
Imaging of filtering blebs
Clinicians have used UBM to image blebs after trabeculectomy,7-9 but the need for conjunctival contact limits its use. Alternative techniques for imaging of blebs have included in vivo confocal microscopy10 and AS-OCT.11,12
Non-contact OCT imaging is a much safer way to examine bleb morphology in the early postoperative period, offering an opportunity to study the longitudinal healing and remodeling processes inside the blebs.11-16 Four-different AS-OCT patterns of intra-bleb morphology have been identified — diffuse filtering blebs, cystic blebs, encapsulated blebs and flattened blebs — and have been correlated with slit lamp appearance and bleb function (Figure 2).12
Figure 2: AS-OCT shows thickened, homogeneously spongy filtering bleb (arrow) with fluid-filled spaces separated by septa and closed intrascleral fistula.
Combining clinical and imaging information could provide new insight for understanding surgical outcomes after trabeculectomy, which may refine surgical techniques and better evaluate adjuvant surgical treatments for glaucoma.
A recent Singapore study that used SD-OCT (Cirrus SD-OCT, Carl Zeiss Meditec, Dublin, Calif.) to identify bleb morphology found SD-OCT identified bleb wall details, but could not image deeper structures such as internal ostium or flap position.16 Also, AS-OCT has been found to aid in determining the position, course and patency of drainage implants.18,19
Secondary glaucoma, iris disorders
AS-OCT has been useful for evaluating post-penetrating keratoplasty eyes with secondary glaucoma,20,21 after laser iridotomy22 and after cataract surgery.23 AS-OCT has also been used to visualize the position and patency of aqueous shunt devices in the anterior chamber that corneal edema may partially obscure.24
AS-OCT penetrates full thickness iris lesions and allows three-dimensional measurement of lesion size. Compared to slit-lamp photography and ultrasound biomicroscopy, AS-OCT is helpful in evaluating iris tumors, including focal iris nevus, diffuse iris nevus, amelanotic iris nevus, iris melanocytosis and iris melanoma.25 OM
Acknowledgement
The authors acknowledge the contributions of Vishal Jhanji, MD, from Chinese University of Hong Kong for initial drafting of the article, and Alison Dowdell, Mayo Clinic, Florida, for editing the article.
REFERENCES
1. Brandt JD. The influence of corneal thickness on the diagnosis, management of glaucoma. J Glaucoma. 2001;10:S65-67.
2. Foster PJ. Advances in the understanding of primary angle-closure as a cause of glaucomatous optic neuropathy. Community Eye Health. 2001;14:37-39.
3. Spaeth GL, Aruajo S, Azuara A. Comparison of the configuration of the human anterior chamber angle, as determined by the Spaeth gonioscopic grading system, ultrasound biomicroscopy. Trans Am Ophthalmol Soc. 1995;93:337-347;discussion 47-51.
4. Spaeth GL, Azuara-Blanco A, Araujo SV, Augsburger JJ. Intraobserver, interobserver agreement in evaluating the anterior chamber angle configuration by ultrasound biomicroscopy. J Glaucoma. 1997;6:13-17.
5. Asrani S, Sarunic M, Santiago C, Izatt J. Detailed visualization of the anterior segment using fourier-domain optical coherence tomography. Arch Ophthalmol. 2008;126:765-771.
6. Prata TS, Dorairaj S, De Moraes CG, Tello C, Liebmann JM, Ritch R. Indentation slitlamp-adapted optical coherence tomography technique for anterior chamber angle assessment. Arch Ophthalmol. 2010;128:646-647.
7. Avitabile T, Russo V, Uva MG, Marino A, Castiglione F, Reibaldi A. Ultrasound-biomicroscopic evaluation of filtering blebs after laser suture lysis trabeculectomy. Ophthalmologica. 1998;212 Suppl 1:17-21.
8. McWhae JA, Crichton AC. The use of ultrasound biomicroscopy following trabeculectomy. Can J Ophthalmol. 1996;31:187-191.
9. Munnich S, Lieb WE, Jahn R, Grehn F. [Ultrasound biomicroscopy findings in various forms of glaucoma]. Ophthalmologe. 1995;92:526-530.
10. Labbe A, Dupas B, Hamard P, Baudouin C. In vivo confocal microscopy study of blebs after filtering surgery. Ophthalmology. 2005;112:1979.
11. Singh M, Chew PT, Friedman DS, et al. Imaging of trabeculectomy blebs using anterior segment optical coherence tomography. Ophthalmology. 2007;114:47-53.
12. Leung CK, Yick DW, Kwong YY, et al. Analysis of bleb morphology after trabeculectomy with Visante anterior segment optical coherence tomography. Br J Ophthalmol. 2007;91:340-344.
13. Ciancaglini M, Carpineto P, Agnifili L, et al. Filtering bleb functionality: a clinical, anterior segment optical coherence tomography, in vivo confocal microscopy study. J Glaucoma. 2008;17:308-317.
14. Labbe A, Hamard P, Iordanidou V, Dupont-Monod S, Baudouin C. [Utility of the Visante OCT in the follow-up of glaucoma surgery]. J Fr Ophtalmol. 2007;30:225-231.
15. Muller M, Hoerauf H, Geerling G, et al. Filtering bleb evaluation with slit-lamp-adapted 1310-nm optical coherence tomography. Curr Eye Res. 2006;31:909-915.
16. Theelen T, Wesseling P, Keunen JE, Klevering BJ. A pilot study on slit lamp-adapted optical coherence tomography imaging of trabeculectomy filtering blebs. Graefes Arch Clin Exp Ophthalmol. 2007;245:877-882.
17. Singh M, See JL, Aquino MC, Thean LS, Chew PT. High-definition imaging of trabeculectomy blebs using spectral domain optical coherence tomography adapted for the anterior segment. Clin Experiment Ophthalmol. 2009;37:345-351.
18. Hollo G, Naghizadeh F. Evaluation of the tightness of contact between limbal sclera tunnel, tube following Ahmed glaucoma valve implantation. Eur J Ophthalmol. 2013;23:905-908.
19. Jung KI, Lim SA, Park HY, Park CK. Visualization of blebs using anterior-segment optical coherence tomography after glaucoma drainage implant surgery. Ophthalmology. 2013;120:978-983.
20. Memarzadeh F, Li Y, Francis BA, Smith RE, Gutmark J, Huang D. Optical coherence tomography of the anterior segment in secondary glaucoma with corneal opacity after penetrating keratoplasty. Br J Ophthalmol. 2007;91:189-1892.
21. Chua J, Mehta JS, Tan DT. Use of anterior segment optical coherence tomography to assess secondary glaucoma after penetrating keratoplasty. Cornea. 2009;28:243-245.
22. Memarzadeh F, Li Y, Chopra V, Varma R, Francis BA, Huang D. Anterior segment optical coherence tomography for imaging the anterior chamber after laser peripheral iridotomy. Am J Ophthalmol. 2007;143:877-879.
23. Memarzadeh F, Tang M, Li Y, Chopra V, Francis BA, Huang D. Optical coherence tomography assessment of angle anatomy changes after cataract surgery. Am J Ophthalmol. 2007; 144: 464-465.
24. Sarodia U, Sharkawi E, Hau S, Barton K. Visualization of aqueous shunt position, patency using anterior segment optical coherence tomography. Am J Ophthalmol. 2007;143:1054-1056.
25. Bakri SJ, Singh AD, Lowder CY, et al. Imaging of iris lesions with high-speed optical coherence tomography. Ophthalmic Surg Lasers Imaging. 2007;38:27-34.
About the Author | |
| Syril K. Dorairaj, MD, is an assistant professor at Mayo Clinic, Jacksonville. His e-mail is Dorairaj.syril@mayo.edu. |
| Michael W. Stewart, MD, is an associate professor and chairman of ophthalmology at Mayo Clinic, Jacksonville. His e-mail is stewart.michael@mayo.edu. |
Disclosures: Dr. Dorairaj has no conflicts to disclose. Dr. Stewart disclosed he is a consultant to Allergan, Boehringer-Ingelheim and Regeneron. | |







