Coding
Payment considerations for dropless cataract surgery
The supply and administration of these injections can’t be separately reimbursed.
By Kevin Corcoran
In May, the author of an article in this publication quoted a physician as saying that dropless cataract surgery “is a no-brainer.”1 The author said Imprimis Pharmaceuticals has commercialized two compounds, TriMoxi and TriMoxiVanc, for this purpose and is promoting the concept to an expanding audience of surgeons.
He discusses reimbursement issues briefly, but these are the concerns that present problems because the reader gets the impression that few (if any) obstacles exist to recouping their costs—and that’s not the case.
PASS-THROUGH EXCEPTION NOT APPLICABLE
Imprimis describes TriMoxi as triamcinolone acetonide and moxifloxacin hydrochloride. Adding vancomycin to TriMoxi yields TriMoxiVanc. This combination of antibiotic and anti-inflammatory agents, prepared by a compounding pharmacy, is administered during cataract surgery, and is designed to mitigate the need for postoperative eyedrops. A surgeon or ambulatory surgery center (ASC) director might reasonably ask, if separate reimbursement is required for the supply of, and administration of, the drugs.
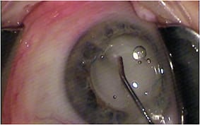
Immediately after injecting the TriMoxi+vancomycin mixture into the anterior vitreous through the zonules, the surgeon withdraws the cannula.
COURTESY: JEFFREY T. LIEGNER, MD
Our organization investigated this issue from the vantage points of Medicare coverage and payment policy because most cataract surgery is performed on Medicare beneficiaries. (Other payers generally follow Medicare policy.) We learned that separate reimbursement for intraocular medications during cataract surgery is not available except under an exception such as the pass-through provision of the Outpatient Prospective Payment System (OPPS).2,3,4,5 At this time, TriMoxi and TriMoxiVanc are not covered by the pass-through exception in OPPS.
In general, it is CMS policy to treat all supplies as part of the ASC facility fee for the purpose of reimbursement.
INJECTABLE MEDICATION REIMBURSEMENTS
We learned that CMS publishes a table6 of injectable medications that are separately reimbursed when used in an ASC or hospital outpatient department (HOPD). Addendum BB of the CY 2014 Medicare ASC Payment Rate Table identifies “drugs and biologicals paid separately when provided integrally to a surgical procedure on an ASC list; payment based on OPPS rate” with indicator K2. TriMoxi and TriMoxiVanc are not listed in the CMS table. Both vancomycin (J3370) and moxifloxacin (J2280) are listed in the table with indicator N1 (packaged service/item; no separate payment made), so separate reimbursement is expressly prohibited.
Of note, triamcinolone acetonide, preservative free (J3300) is listed in the table with a K2 indicator; however, this is a different product. The key distinction is that TriMoxi and TriMoxiVanc are compounded products while Triesence suspension is an FDA-approved non-compounded final product.
COMPOUNDED-DRUG REIMBURSEMENTS
CMS Transmittal 1759 states that the ASC is not separately reimbursed for compounded drugs “unless otherwise specified in the long description, Healthcare Common Procedure Coding System (HCPCS)” referral to the non-compounded, FDA-approved final product. “If a product is compounded and a specific HCPCS code does not exist for the compounded product, the ASC should include the charge for the compounded product in the charge for the surgical procedure performed.”
When TriMoxi or TriMoxiVanc is administered in the operating room, the reimbursement for the supply is included in the ASC’s facility fee—do not make a separate claim for the compounded drug.
Additional information regarding the ASC payment system can be found at: https://www.cms.gov/Outreach-and-Education/Medicare-Learning-Network-MLN/MLNProducts/downloads/AmbSurgCtrFeepymtfctsht508-09.pdf.
The surgeon performs the transzonular TriMoxi+vancomycin injection using a 27-gauge hydrodissection cannula.
COURTESY: JAMES S. LEWIS, MD
PROCEDURE CODING
Administration of TriMoxi or TriMoxiVanc is sometimes accomplished using a cannula placed between the IOL and posterior capsule. Use of a cannula during cataract surgery is an inherent part of the procedure; no discrete procedure code identifies this step.
Sometimes, an intravitreal injection is performed to administer the medication. CPT 67028 describes an intravitreal injection; however, this procedure carries the “separate procedure” designation. CPT instructs: “The codes designated as ‘separate procedure’ should not be reported in addition to the code for the total procedure or service of which it is considered an integral component.”
Since the use of TriMoxi and TriMoxiVanc is described as “dropless cataract surgery,” the intravitreal injection is an integral component of the cataract procedure, and consequently not reported separately. This rule applies for both the surgeon and the facility.
NOT SEPARATELY REIMBURSABLE
While dropless cataract surgery appears to be attractive to surgeons and patients, the question of separate reimbursement is a sticking point. We looked at this issue from every vantage point, and found that Medicare considers the supply and administration of TriMoxi or TriMoxiVanc to be an incidental part of cataract surgery and not separately reimbursed.
Significantly, this also means that the beneficiary may not be billed for these drugs or the administration as a non-covered service using an Advance Beneficiary Notice or other financial waiver. OM
REFERENCES:
1. Helzner J, Ophthalmology Management, A Case For Dropless Cataract Surgery, May 1, 2014. http://www.ophthalmologymanagement.com/articleviewer.aspx?articleID=111160. Accessed July 18, 2014.
2. Social Security Act §1833(t)(5)(A)(i)(II).
3. Social Security Act §1833(t)(6)A)(iv).
4. Medicare Carrier Payment Manual, Chapter 4, §50.3.
5. Federal Register, April 7, 2000, 65 FR 18478.
6. Addendum BB of CY 2014 Medicare ASC Payment Rates.
|
Kevin Corcoran COE, CPC, CPMA, FNAO, is president of Corcoran Consulting Group in San Bernadino, Calif. |







