Ophthalmic imaging has advanced tremendously over the past decade. There are now a wide variety of retinal imaging techniques to choose from. Given that each imaging modality has different machines with differing capabilities, it is important to review the preferred imaging modalities for each disease. In this article, we focus on the most useful imaging modalities for the most common retinal vascular disorders.
DIABETIC RETINOPATHY
Fundus photography
Fundus photography is useful for documenting the severity of retinopathy and can serve as a tool to help patients gain an understanding of their disease. The gold standard photography for the detection of diabetic retinopathy (DR) is stereoscopic color fundus photography in 7-standard fields (30°), as defined by the Early Treatment Diabetic Retinopathy Study group (Figure 1).2 However, this can take 10 to 15 minutes to complete and requires a skilled operator.
Newer fundus cameras can capture between 30° and 55° fields of the retina in a single image. Stereoscopic fundus photography allows for examination of pathology in three dimensions, but a recent study found no difference in the ability of a trained ophthalmologist in interpreting monoscopic or stereoscopic photos.3
Ultra-widefield imaging can image up to 200° of the retina in a single image. The presence and increasing extent of peripheral diabetic changes have been shown to be associated with increased risk of DR progression over four years, suggesting the importance of obtaining widefield images.4 However, widefield imaging has limitations, including false color representation, eyelash artifact and high equipment costs in the range of $120,000 to $150,000. Newer systems (such as the Zeiss Clarus 500) generate images that provide true color and high resolution across an entire ultra-widefield image more closely resembling the fundus as seen during clinical exam.
An advantage of non-mydriatic fundus photography is that nurses or medical assistants can perform it, especially in a primary-care setting. It is often used as a screening tool in telemedicine programs. However, non-mydriatic photos are limited by the small field of view and decreased image quality.5
Fluorescein angiography (FA)
FA is the gold standard for visualizing retinal vasculature in vivo. It enables the identification of microaneurysms, macular edema and neovascularization. It can also be used to monitor the size of the foveal avascular zone. FA guides therapy by identifying the source of fluorescein leakage for possible focal laser treatment and monitoring response to panretinal photocoagulation. FA is most helpful to evaluate the extent and severity of retinopathy, particularly the degree of peripheral ischemia via standard FA and, most recently, via ultra-widefield FA (UWFA) (Figure 2). UWFA can detect predominantly peripheral lesions not visible on standard FA that are associated with an increased risk of DR.4 UWFA allows for identification of peripheral neovascularization and peripheral retinal ischemia, thus identifying patients who would benefit from panretinal laser photocoagulation and/or anti-vascular endothelial growth factor (VEGF) therapy or patients at increased risk of neovascularization/vitreous hemorrhage who would benefit from more frequent follow up.6 However, widespread use of UWFA is limited by the cost of the technology.
Optical coherence tomography (OCT) and angiography
Spectral-domain OCT (SD-OCT) provides high- resolution, cross-sectional imaging of the retina with fast acquisition speed. It is most utilized for the initial detection and subsequent management of diabetic macular edema (DME). OCT allows for both quantitative and qualitative monitoring of retinal thickness and determination of edema location, either center involving or non-center involving that has led to an OCT-based reclassification of DME. OCT can also be used to identify subretinal fluid accumulation, presence of concomitant epiretinal membranes, vitreomacular traction or tractional retinal detachments. Additionally, it can provide information regarding the integrity of the photoreceptor layer, which can aid in visual prognostication.7
OCT angiography (OCTA) is a novel, non-invasive imaging technique that allows detection of retinal blood flow. Split-spectrum amplitude-decorrelation angiography detects the movement of erythrocytes through blood vessels and filters out noise, producing an accurate map of blood flow.8 Various studies looking at the utility of OCTA in DR have shown it to be effective in detecting microaneurysms and areas of neovascularization,9 and areas of absent or sparse capillaries can correlate with ischemia.10
Limitations of OCTA include the inability to visualize leakage from blood vessels and the limitation in size of the area imaged. Larger prospective studies are needed to further elucidate the role of OCTA in monitoring DR.
In my practice, traditional fundus photography remains the standard method of documenting and staging of DR at baseline. FA serves as the gold standard for baseline evaluation and subsequent monitoring for neovascularization in DR patients. OCT is the standard of reference for evaluating DME initially and in follow-up.
AMD
Fundus photography
Fundus photography remains a standard imaging technique for documenting various AMD characteristics, such as drusen, pigmentary changes, atrophy, neovascularization and fibrosis. It has been used to evaluate geographic atrophy (GA) and monitor progression; however, there are limitations in its ability to precisely define lesion boundaries. Fundus photography should be combined with other imaging modalities when available.11
Fundus autofluorescence (FAF)
FAF relies on the visualization of lipofuscin pigment in the RPE, which increases with aging and various retinal diseases. It allows for identification of high-risk characteristics such as focal hyperpigmentation, which presents as increased signal intensity or hyperfluorescence. It also highlights areas of hypopigmentation, with decreased signal intensity or hypofluorescence correlating with RPE loss (Figure 3, page 19). By allowing direct visualization of GA, FAF is most beneficial for the initial assessment and monitoring of patients with GA — specifically perilesional hyperfluorescence, which often precedes further retinal atrophy.12,13
OCT/OCTA
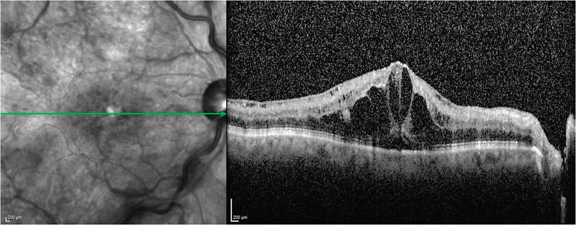
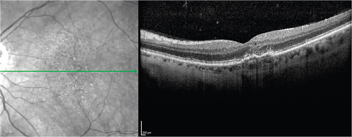
OCT enables monitoring of drusen characteristics and subtle changes that may precede progression and conversion to both GA and exudative macular degeneration.
It allows clear identification of the presence of intraretinal cystoid changes and subretinal fluid indicative of choroidal neovascularization (Figures 4, 5). Additionally, the response to anti-VEGF injections can be evaluated, which is critical to guide further therapy. Pigment epithelial detachment analysis can identify large detachments that are at risk for developing an RPE tear after initial anti-VEGF treatment. Furthermore, OCT analysis of photoreceptor integrity can help assess visual potential in late stages and determine whether continuation of therapy is indicated.
Given its ability to provide detailed evaluation of the neurosensory retina and RPE-Bruch’s membrane complex, OCT remains a preferred imaging tool for screening, diagnosis, long-term monitoring and therapeutic efficacy assessment of AMD.13,14
OCTA is effective in the detection of choroidal neovascular membranes (CNVMs). Also, it helps to distinguish type 1 and type 2 CNVMs based on their presence below or above the RPE, respectively, as well as identify type 3 CNVMs, or retinal angiomatous proliferation lesions.15-18 It has been used to characterize two types of occult neovascular complexes: medusa vs. seafan (Figure 5).16 OCTA can also detect subclinical neovascularization corresponding to indocyanine green (ICG) angiography plaques, providing an indication for closer monitoring and the potential for intervention before significant disturbance of anatomical structure occurs.19 Moreover, it can distinguish subtle choriocapillaris alterations, which may have a future role in monitoring and predicting progression of nonexudative AMD.20 The clinical utility of OCTA in AMD is evolving. OCTA appears to have an expanding role in the diagnosis and follow-up for AMD patients.
FA and ICG angiography
FA remains the gold standard for detection and classification of neovascularization. CNV is detected by angiographic leakage, which poses a major limitation as progressive leakage of dye can obscure lesion boundaries.21 FA is an invasive and time-consuming procedure that carries risk of nausea, vomiting and, in extreme cases, anaphylaxis. For these reasons, it is not a recommended screening tool in asymptomatic patients. In comparison, OCTA provides noninvasive visualization of retinochoroidal vasculature that can be repeated and combined with FA for CNV detection and monitoring. OCTA can be considered for utilization as a screening device for early neovascularization.16
ICG angiography is a water-soluble dye that is almost completely protein bound after intravenous injection and is thus ideal for imaging the choroidal circulation. ICG can highlight occult CNV and pigment epithelial detachments. Choroidal neovascularization can appear as a plaque, a “hot spot” or a combination of both on ICG. Additionally, ICG is integral for diagnosing idiopathic polypoidal choroidal vasculopathy and central serous chorioretinopathy, which at times may be considered in the differential diagnosis of AMD. In my clinic, FA remains the gold standard for the confirmation and characterization of exudative AMD, although there is and expanding role for OCTA. OCT, however, is most sensitive in monitoring disease activity and assessing response to anti-VEGF treatment.
RETINAL VEIN OCCLUSION (RVO)
Fundus photos
Fundus photography is useful for baseline documentation of clinical findings. Wide-field fundus photography can document the extent of retinal pathology observed, including intraretinal hemorrhages, dilated retinal veins, hard exudates and cotton-wool spots (Figure 6).
FA
FA can aid in diagnosis of RVO by showing an increase in retinal transit times. Additionally, FA is used to define the extent of capillary drop-out and macular ischemia, aiding in differentiation between ischemic and nonischemic central RVO (CRVO) (Figure 7, page 22). UWFA can show peripheral nonperfusion that is associated with increased risk of macular edema and neovascularization and may prompt closer follow-up.22 Also, FA shows cystoid macular edema as petaloid hyperfluorescence in the macula. Additionally, FA is useful to detect neovascularization of the disc and elsewhere in patients with CRVO and branch RVO (BRVO).
FA, therefore, is most useful to obtain upon presentation in patients with RVO to quantify the area of retinal and choroidal nonperfusion as well as during follow-up if there is high suspicion of neovascularization or if the patient has unexplained decreased vision.
OCT and OCTA
OCT is primarily used to diagnose and monitor macular edema in BRVO and CRVO (Figure 8, page 22). SD-OCT provides the best spatial resolution, with data on the location of the accumulated fluid. Visual acuity in vein occlusion is also closely associated with the integrity of the foveal photoreceptor layer, which is best visualized on OCT.23 SD-OCT should be obtained upon initial diagnosis and subsequently to follow patients undergoing treatment for macular edema.
OCTA detects areas of hypoperfusion and nonperfusion of all retinal layers with excellent accuracy and can resolve the deep capillary plexus and the peripapillary radial capillaries.24 Also, OCTA can detect neovascularization of the disc and neovascularization elsewhere.8 However, given the small field of view, patients still require widefield FA to assess for peripheral neovascularization and non-perfusion. The utility of OCTA in RVO requires further study.
CONCLUSION
With so many imaging techniques at our disposal, it can be overwhelming to determine which modality is best suited to a particular retinal disease.
We hope this article is valuable to the clinician in navigating the variety of imaging modalities that can provide the most relevant information in the most efficient and cost-effective manner. OM
REFERENCES
- Klein R. The Wisconsin Epidemiologic Study of Diabetic Retinopathy. Archives of Ophthalmology. 1984;102:520-526.
- Grading Diabetic Retinopathy from Stereoscopic Color Fundus Photographs — An Extension of the Modified Airlie House Classification. Ophthalmology. 1991;98:786-806.
- Li HK, Hubbard LD, Danis RP, Esquivel A, Florez-Arango JF, Krupinski EA. Monoscopic versus Stereoscopic Retinal Photography for Grading Diabetic Retinopathy Severity. Investigative Ophthalmology & Visual Science. 2010;51:3184.
- Silva PS, Cavallerano JD, Sun JK, et al. Peripheral Lesions Identified by Mydriatic Ultrawidefield Imaging: Distribution and Potential Impact on Diabetic Retinopathy Severity. Ophthalmology. 2013;120(12):2587-2595.
- Williams GA, Scott IU, Haller JA, Maguire AM, Marcus D, Mcdonald H. Single-field fundus photography for diabetic retinopathy screening. Ophthalmology. 2004;111(5):1055-1062.
- Kim DY, Kim J-G, Kim YJ, Joe SG, Lee JY. Ultra-Widefield Fluorescein Angiographic Findings in Patients With Recurrent Vitreous Hemorrhage After Diabetic Vitrectomy. Investigative Opthalmology & Visual Science. 2014;55(11):7040-7046.
- Koleva-Georgieva DN, Sivkova NP. Types of diabetic macular edema assessed by optical coherence tomography. Folia Medica (Plovdiv). 2008;50:30-38.
- de Carlo TE, Bonini Filho MA, Baumal CR, et al. Evaluation of preretinal neovascularization in proliferative diabetic retinopathy using optical coherence tomography angiography. Ophthalmic Surg Lasers Imaging Retina. 2016;47(2):115-119.
- Ishibazawa A, Nagaoka T, Takahashi A, et al. Optical Coherence Tomography Angiography in Diabetic Retinopathy: A Prospective Pilot Study. American Journal of Ophthalmology. 2015;160(1).
- Hwang TS, Jia Y, Gao SS, et al. Optical Coherence Tomography Angiography Features Of Diabetic Retinopathy. Retina. 2015;35(11):2371-2376.
- Holz FG, Strauss EC, Schmitz-Valckenberg S, van Lookeren Campagne M. Geographic atrophy: clinical features and potential therapeutic approaches. Ophthalmology. 2014 May;121(5):1079-91.
- Holz FG, Steinberg JS, Gobel A, Fleckenstein M, Schmitz-Valckenberg S. Fundus autofluorescence imaging in dry AMD: 2014 Jules Gonin lecture of the Retina Research Foundation. Graefes Arch Clin Exp Ophthalmol. 2015;253:7-16.
- Lim PC, Layton CJ. Prognostic implications of imaging in atrophic macular degeneration and its use in clinical practice and clinical trial design. Clinical & Experimental Ophthalmology. 2016;44(5):410-421.
- Schmidt-Erfurth U, Klimscha S, Waldstein SM, Bogunović H. A view of the current and future role of optical coherence tomography in the management of age-related macular degeneration. Eye. 2016;31(1):26-44.
- de Carlo TE, Filho MAB, Chin AT, et al. Spectral-Domain Optical Coherence Tomography Angiography of Choroidal Neovascularization. Ophthalmology. 2015;122(6):1228-1238.
- Kuehlewein L, Bansal M, Lenis TL, et al. Optical Coherence Tomography Angiography of Type 1 Neovascularization in Age-Related Macular Degeneration. American Journal of Ophthalmology. 2015;160:739-748.
- Kuehlewein L, Dansingani KK, Carlo TED, et al. Optical Coherence Tomography Angiography Of Type 3 Neovascularization Secondary To Age-Related Macular Degeneration. Retina. 2015;35:2229-2235.
- Novais EA, Roisman L, de Oliveira PR, Louzada RN, Cole ED, Lane M, Filho MB, Romano A, de Oliveira Dias JR, Regatieri CV, et al. Optical coherence tomography angiography of chorioretinal diseases. Ophthalmic Surgery, Lasers, and Imaging Retina. 2016 Sep 1; 47:848-61.
- Roisman L, Zhang Q, Wang RK, et al. Optical Coherence Tomography Angiography of Asymptomatic Neovascularization in Intermediate Age-Related Macular Degeneration. Ophthalmology. 2016;123:1309-1319.
- Waheed NK, Moult EM, Fujimoto JG, Rosenfeld PJ. Optical Coherence Tomography Angiography of Dry Age-Related Macular Degeneration. Developments in Ophthalmology. 2016;56:91-100.
- Holz FG, Sadda S, Staurenghi G, et al. Imaging protocols for clinical studies in age-related macular degeneration – recommendations from Classification of Atrophy (CAM) Consensus Meeting. Ophthalmology. 2017;124:464-478.
- Prasad PS, Oliver SC, Coffee RE, Hubschman J-P, Schwartz SD. Ultra Wide-Field Angiographic Characteristics of Branch Retinal and Hemicentral Retinal Vein Occlusion. Ophthalmology. 2010;117:780-784.
- Ota M, Tsujikawa A, Kita M, et al. Integrity Of Foveal Photoreceptor Layer In Central Retinal Vein Occlusion. Retina. 2008;28:1502-1508.
- Spaide RF, Klancnik JM, Cooney MJ. Retinal Vascular Layers in Macular Telangiectasia Type 2 Imaged by Optical Coherence Tomographic Angiography. JAMA Ophthalmology. 2015;133:66. doi:10.1001/jamaophthalmol.2014.3950.
- Tsui I, Franco-Cardenas V, Hubschman J-P, Yu F, Schwartz SD. Ultra Widefield Fluorescein Angiography Can Detect Macular Pathology in Central Retinal Vein Occlusion. Ophthalmic Surgery, Lasers, and Imaging. 2012;43:257-262. doi:10.3928/15428877-20120424-01.
- Friberg TR, Gupta A, Yu J, et al. Ultrawide Angle Fluorescein Angiographic Imaging: A Comparison to Conventional Digital Acquisition Systems. Ophthalmic Surgery, Lasers, and Imaging. 2008;39:304-311. doi:10.3928/15428877-20080701-06.
- Ebrahimiadib N, Riazi-Esfahani M. Autofluorescence Imaging for Diagnosis and Follow-up of Cystoid Macular Edema. Journal of Ophthalmic & Vision Research. 2012;7:261-267.
- Wessel MM, Aaker GD, Parlitsis G, Cho M, Dʼamico DJ, Kiss S. Ultra–Wide-Field Angiography Improves The Detection And Classification Of Diabetic Retinopathy. Retina. 2012;32:785-791. doi:10.1097/iae.0b013e3182278b64.
- Tan CSH, Chew MCY, Lim LWY, Sadda SR. Advances in retinal imaging for diabetic retinopathy and diabetic macular edema. Indian Journal of Ophthalmology. 2016;64:76-83. doi:10.4103/0301-4738.178145.
- Salz DA, Witkin AJ. Imaging in Diabetic Retinopathy. Middle East African Journal of Ophthalmology. 2015;22(2):145-150. doi:10.4103/0974-9233.151887.
- Gajree S, Borooah S, Dhillon B. Imaging in Diabetic Retinopathy: A Review of Current and Future Techniques. Current Diabetes Reviews. 2016;13:26-34. doi:10.2174/1573399812666151119144109.
- Cole ED, Novais EA, Louzada RN, Waheed NK. Contemporary retinal imaging techniques in diabetic retinopathy: a review. Clinical & Experimental Ophthalmology. 2016;44:289-299. doi:10.1111/ceo.12711.







