The cataract surgeons assembled on an early Saturday morning at the November 2017 AAO meeting in New Orleans, and for good reason. They gathered to hear three well-known surgeons – two retina, one anterior – discuss why they should always image the retina preoperatively with a camera that can image the periphery. The periphery is where diabetic retinopathy (DR) starts, they reminded the audience. The technology they use and recommend is the Optomap (Optos).
“In Texas, 50% of the population is at risk of diabetes,” said David Brown, a retina specialist in Houston. “If a diabetic patient is screened routinely, his odds of developing severe retinopathy leading to vision loss are greatly reduced.
“Cataract surgery has a 98% success rate, which means that patients have high expectations,” said retina surgeon Jeffrey Heier, MD, of Boston. “There are many things you cannot control, but one thing you can is knowing about pre-existing conditions that can affect the occurrence of cystoid macular edema, such as DR, retinal vein occlusion, preretinal fibrosis and previous retinal surgery.”
A FATHER’S LOVE
In 1990, 5-year-old Leif Anderson went blind in one eye after suffering a spontaneous retinal detachment.1 Two years later, his father, Douglas, commenced the Optomap journey: to commercialize a patient-friendly ultra-widefield scanning laser ophthalmoscope. In 2000, the Panoramic 200 became available in North America, and had 2,000 customers by 2006.1
Simultaneously, OCT technology emerged. David Huang, MD, co-invented OCT in 1991,2 and Zeiss sold the first commercially available OCT in 1996. By 2006, spectral-domain OCT entered the ophthalmic marketplace, and within four years 100 million OCT scans had been taken worldwide.3 But even though the Optomap offered eye-care professionals a high-resolution 200o view of the retina in a single capture — to be used for early detection of DR, retinal holes, tears and detachments, glaucoma and AMD — OCT remained the diagnostic tool of choice.
In 2011, Optos introduced the Daytona ultra-widefield retinal imaging device; at the same time, OCT reimbursement was essentially cut in half.4 In 2014, Optos introduced a new imaging device, the California, developed specifically to optimize the management of DR, AMD and choroidal pathology, with both ultra-widefield fluorescein and indocyanine green angiographies. The images are anatomically normalized with pixel-for-pixel registration to remove the inherent bias that occurs when the curved retinal surface is viewed on a flat plane.5 Color images are available in simulated white light to resemble the coloration of the retina when viewed with an ophthalmoscope. Other imaging modalities include red-free, choroidal and autofluorescence.
OPTOMAP IN PRACTICE
Anterior specialist Warren E. Hill, MD, of Mesa, Ariz., told the group at AAO that he sends patients’ images through a secure network to his retina colleagues ahead of referral, which he’s told is appreciated. Also, showing the patients “the item of concern rather than just talking about it” is a great way to connect with them. “Overall, having this technology makes me a better physician.”
V. Nicholas Batra, MD, a cornea, cataract and refractive surgeon from San Leandro, Calif., knew of the Optomap for years before purchasing the technology. He held off due to “concerns about image resolution and the impression that Optomap was merely an optometric pay-per-click replacement for dilation,” he wrote in a letter to Optos in December 2016. Now, he images all new patients with the Optomap as his standard of care. Like many users of ultra-widefield imaging, he still dilates most of his patients, but the Optomap enables him to see an extra five patients per day. He particularly values the technology for those with hypertension and diabetes.
Scott Segal, MD, of Pasadena, Texas, agreed the Optomap can facilitate observation of subtle diabetic changes in the far periphery. “We routinely use the Optomap images in discussion with our patients,” he said. In a letter to Optos, he wrote, “We have seen better patient compliance and retention.”
OPTOMAP IN PUBMED
A study conducted by Kernt, et al. compared the diagnostic properties of the Optomap to those of the Early Treatment of Diabetic Retinopathy Study (ETDRS) 7-field photography (a grading system that was designed in 1991).6,7 Results showed a substantial inter-rater agreement between the Optomap and ETDRS for both DR and clinically significant macular edema (CSME) with Cohen’s kappa coefficients of 0.79 for DR and 0.73 for CSME for grader 1 and 0.77 each for DR and CSME for grader 2.
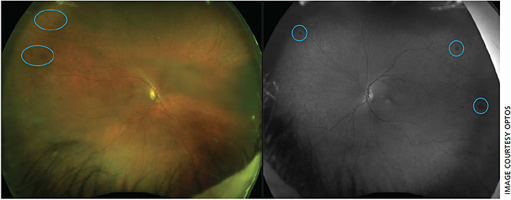
Wessel et al. showed that for 218 eyes of 118 diabetic patients who had Optomap FA images taken, the ultra-widefield FA showed 3.9 times more nonperfusion and 1.9 times more neovascularization than ETDRS imaging. Ten percent of eyes had retinal pathology not evident in the ETDRS imaging.8 In a 2015 study conducted by Silva, et al., predominantly peripheral lesions were present in 61.8% of 68 eyes of 37 diabetic patients, reflecting the extent of nonperfusion and ischemia and potential for progression.9 In a study of asymptomatic postoperative cataract patients, Schwartz, et al. found peripheral lesions in 40 out of 76 eyes (52.6%) in 58 consecutive patients using the Optomap.10
BEST OF BOTH
The clinical availability of Optomap’s peripheral views, combined with the cross-sectional benefits of the OCT for assessment of DR and CSME, could not come at a better time, considering the percentage of Americans with diabetes (9.4%) and prediabetes (33.9%).11 To effectively examine the peripheral retina for melanoma, retinal detachments, branch retinal artery and vein occlusions and posterior uveitis, coupled with the increased efficiency this technology can provide, makes for a healthier practice. OM
REFERENCES
- Optos. https://www.optos.com/en/about/ . Accessed Jan. 2, 2018.
- Huang D, Swanson EA, Lin CP, et al. Optical coherence tomography. Science. 1991;254(5035):1178-81.
- Fujimoto J, Swanson E. The Development, Commercialization, and Impact of Optical Coherence Tomography. Invest Ophthalmol Vis Sci. 2016;57(9):OCT1–OCT13.
- Topping TM. Reimbursement Reduction for OCT. Retina Today. September 2012. http://retinatoday.com/2012/09/reimbursement-reductions-for-oct/ . Accessed Jan. 4, 2018.
- V2 Vantage Pro: Pioneering Technology. https://www.optos.com/globalassets/www.optos.com/products/v2-vantage-pro-2.9.pdf . Accessed Jan. 3, 2018.
- Kernt M, Hadi I, Pinter F, et al. Assessment of Diabetic Retinopathy Using Nonmydriatic Ultra-Widefield Scanning Laser Ophthalmoscopy (Optomap) Compared with ETDRS 7-Field Stereo Photography. Diabetes Care 2012;35(12):2459-2463.
- No authors listed. Grading diabetic retinopathy from stereoscopic color fundus photographs--an extension of the modified Airlie House classification. ETDRS report number 10. Early Treatment Diabetic Retinopathy Study Research Group. Ophthalmology. 1991;98(5 Suppl):786-806.
- Wessel MM, Aaker GD, Parlitsis G, et al. Ultra-wide-field angiography improves the detection and classification of diabetic retinopathy. Retina. 2012;32(4):785-791.
- Silva PS, Dela Cruz AJ, Ledesma MG, et al. Diabetic Retinopathy Severity and Peripheral Lesions Are Associated with Nonperfusion on Ultrawide Field Angiography. Ophthalmology. 2015;122(12):2465-2472.
- Schwartz S, Gonzalez CL, Bhandari R, et al. Retina evaluation with nonmydriatic ultrawide-field color imaging after cataract extraction surgeries in asymptomatic patients. OSLI Retina. 2015;46(1):50-55.
- National Diabetes Statistics Report, 2017. https://www.cdc.gov/diabetes/pdfs/data/statistics/national-diabetes-statistics-report.pdf . Accessed Jan. 4, 2018.







