Evaluating the Impact of HD-OCT On Diagnosing and Treating Retinal Disease
Two cases demonstrate how Cirrus HD-OCT led to more accurate diagnoses and better patient outcomes.
By William F. Mieler, MD
Accurate, early diagnosis and treatment decisions often depend on the quantity and quality of data we receive. As new technologies continue to give us more data, they'll also facilitate the translation of that data into practical, accessible information.
The detailed images of Cirrus HD-OCT help evaluate and monitor age-related macular degeneration (AMD) and diabetic macular edema (DME). The technology not only enables us to readily diagnose AMD and DME, but also allows us to map the response to therapy or monitor the natural history of the disease. We can compare the Cirrus images against normative databases, as well as against a patient's own baseline photographs.
In addition, Cirrus HD-OCT allows us to separate the layers of the retina, including the internal limiting membrane (ILM) and the retinal pigment epithelium (RPE), and analyze integrated measurements of thickness and volume. This layered mapping is informative not only for wet AMD, but also for diagnosing and tracking the dry form of AMD. The full benefit of this information will continue to evolve and eventually help us make even more informed medical and surgical management decisions for our patients.
Cirrus HD-OCT also may help us decide if surgery is necessary for a variety of macular disorders and choose the best surgical option. Already, the technology has proven to be invaluable for surgical assessment of macular holes, epiretinal membranes, vitreomacular traction syndrome and virtually any form of vitreoretinal interface change.
In our clinic, however, we don't limit the use of Cirrus HD-OCT to these cases. We use the technology whenever possible because the precise mapping (registration) is unparalleled, even for cases in which a high level of detail may not seem necessary.
Evaluating and Treating DME
One application of Cirrus HD-OCT that's particularly beneficial is the ability to see detailed images and maps of visual changes related to diabetes complications that help with diagnosis and disease management.
I examined a 75-year-old man with moderate, non-proliferative diabetic retinopathy who complained that his vision substantially worsened following uneventful cataract surgery in his left eye. His preoperative visual acuity was 20/70 OS. At 6 weeks postop, his acuity dropped to 20/400. In addition, the patient had developed significant Amsler grid abnormalities. Since the time of his cataract surgery, he'd been treated with topical nonsteroidal anti-inflammatory agents (NSAIDs) and topical corticosteroids.
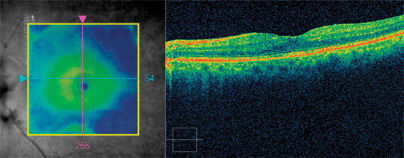
As part of the patient's clinical evaluation, baseline color photographs and a fluorescein angiogram were obtained. The fluorescein angiogram revealed moderate macular edema with diffuse leakage and staining on the optic nerve head. I believed the patient had mild DME with probable postoperative cystoid macular edema (CME) superimposed on his condition. Cirrus HD-OCT documented the precise location and the extent of the CME (425 microns), although it didn't show any evidence of a taut posterior hyaloid or other vitreomacular abnormalities (Figure 1).
Figure 1. These images from Cirrus HD-OCT show extensive macular edema post cataract surgery centrally as well as temporally to the fovea.
Initially, I decided to continue treating the patient with topical NSAIDs and corticosteroids and begin a trial with intravitreal bevacizumab (Avastin, Genentech), recognizing that this was an off-label anti-VEGF agent, and that the combined diabetic and postop CME may not fully respond to this treatment course. When the patient returned 6 weeks postinjection, I took a new set of images with Cirrus HD-OCT and compared them to those taken at baseline. The patient's vision remained unchanged, although the CME had thinned mildly to 325 microns. The patient either partially responded to the pharmaceutical treatment or time alone allowed for some of the improvement. Cirrus HD-OCT gave me the amount of data and high-resolution images I needed to decide the best course of further treatment. I weighed my options: observation, continued use of topical NSAIDs and/or corticosteroids, further anti-VEGF treatment, laser photocoagulation, intravitreal triamcinolone (Kenalog), or pars plana vitrectomy surgery.
Based on the test results from Cirrus HD-OCT and the patient's initial partial response to anti-VEGF therapy, I chose to continue my current treatment plan: topical NSAIDs and corticosteroids and intravitreal bevacizumab. The patient received a second injection of off-label bevacizumab, and 6 weeks later his vision improved to 20/40 OS with almost complete resolution of central metamorphopsia (Figure 2). I'll continue to monitor the patient every 2 months, or see him as needed if he reports any significant visual change in the interim.
Figure 2. Images from Cirrus HD-OCT show complete resolution of central cystoid macular edema 6 weeks post injection of off-label bevacizumab (Avastin, Genentech).
Vitreomacular Interface Changes
In another case, Cirrus HD-OCT helped establish a correct clinical diagnosis. A 66-year-old man underwent uneventful cataract surgery in his left eye, although he experienced only partial visual recovery from 20/100 to 20/70. Clinical examination suggested vitreomacular traction and possible macular hole formation, which was readily confirmed with Cirrus HD-OCT (Figure 3).
Figure 3. High-definition OCT shows vitreomacular traction with the appearance of a possible macular hole post cataract surgery.
I explained to the patient that while the cataract surgery had partially helped him clinically, he'd require vitrectomy surgery to potentially gain further visual improvement. Following a discussion of the risks and benefits of the procedure, we proceeded with a 25-gauge pars plana vitrectomy with retinal membrane dissection and a fluid-air exchange. At 3 months postop, the patient's central vision recovered, his metamorphopsia resolved and his vision stabilized at 20/25 OS (Figure 4).
Figure 4. This high-definition image shows complete resolution of the vitreomacular traction post vitrectomy surgery, although with remaining mild residual retinal surface irregularity.
A New Generation
Today, we're all looking forward to seeing more case studies demonstrating how Cirrus HD-OCT is beneficial for diagnosing, treating and monitoring a variety of disease processes. Anyone who has access to the new generation of HD-OCT has been impressed with its higher level of detail and precision. Soon, an even more complete picture of the benefits will begin to fully emerge. OM
William F. Mieler, MD, is professor and department vice chairman at the University of Illinois at Chicago, Department of Ophthalmology, and past chairman of the American Board of Ophthalmology.







