CASE STUDY
Prostaglandins = Success
Persistence is key to lowering IOP.
BY ROBERT J. NOECKER, M.D., M.B.A.
Treating and monitoring patients with glaucoma constitutes a major part of many ophthalmologists’ practices, accounting for more than 7 million office visits each year.1,2 Primary open-angle glaucoma (POAG) is the most common form of this group of conditions, affecting an estimated 2.2 million Americans, with an incidence three times higher among African Americans as Caucasians. The risk of POAG increases with age, so we can expect to see more of it as the as the population ages (e.g., an estimated 3.36 million in 2020, more than a 60% increase compared to today).3
Although the precise etiology of glaucoma is not completely understood and may also involve such factors as vascular dysfunction and ischemia, increased IOP remains the single most recognized modifiable risk factor associated with the disease.4 The American Academy of Ophthalmology Preferred Practice Pattern for POAG recommends an initial target pressure of >20% lower than the pre-treatment range, since the latter is assumed to have caused ocular damage.4 A number of pharmacological therapies are available that can lower IOP, including topical prostaglandin analogues/hypotensive lipids, beta blockers, alpha-2 adrenergic agonists, topical (and oral) carbonic anhydrase inhibitors and parasympathomimetics. Topical prostaglandin analogues/hypotensive lipids are among the newer agents and are the most frequently used; they usually lower IOP to the greatest degree.
In the real world, it is optimal to attempt to control the IOP with monotherapy, if possible, rather than with multiple medications, as so often happens. This strategy will help to keep side effects and costs to a minimum, and promote better long-term adherence, which is notoriously poor in glaucoma patients.5,6 If a single agent doesn’t reduce IOP adequately, switching to another therapy — in a different class or in the same class — can often achieve greater reduction. The following case is an example of improved response after switching from various therapies, including from one prostaglandin to another.
Figure. OCT analysis of nerve fiber layer shows thinning inferiorly in the right eye greater than the left eye.
Experimenting with Medication
The patient was a 70-year-old man diagnosed with POAG 4 years prior to presentation. He had moderate changes to the optic nerves, with thinning of the inferior rims in the right eye more than the left with some superior rim thinning as well, but no visible optic nerve hemorrhages. The thinning of the nerve fiber layer was documented by OCT (Figure 1). The visual fields showed a significant superior arcuate scotoma and an early inferior nasal step in the right eye and an early superior nasal step in the left. At the time of diagnosis, he had 20/20 vision OU, IOPs ranging between 19 and 23 mm Hg, and corneal thicknesses of 538 μm and 540 μm, respectively.
The patient was initially prescribed timolol maleate b.i.d. OU, but he did not tolerate it well, complaining of exercise intolerance after 1 month of therapy. I switched him to the prostaglandin analogue latanoprost 0.005% (Xalatan, Pfizer) one drop daily, which decreased IOP to 15 to 17 mm Hg, but his visual field fluctuated in annual tests. A carbonic anhydrase inhibitor, dorzolamide (Trusopt, Merck), was added to his regimen. However, this resulted in lowering IOP by only approximately 1 to 2 mm Hg, and the patient admitted that he did not take his medications as directed, missing at least one dose daily about 30% of the time.
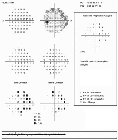
Figure 2. Right visual field shows probable progression after several years of therapy.
Figure 3. Left visual field shows nasal step that is stable.
In January 2006, he showed some evidence of progression of his right visual field as measured by progression analysis (Figures 2 and 3). His IOPs remained at about 14 to 16 mm Hg. Given these results, we switched the patient from latanoprost to bimatoprost 0.03% (Lumigan, Allergan) one drop daily without incident. After 3 weeks, his IOP decreased further to 11 mm Hg initially. With continued follow-up at 3-month intervals, his IOPs ranged between 11 to 13 mm Hg. He continued to do well on bimatoprost with no changes evident on imaging or the visual field tests done at 6-month intervals. The patient continues to tolerate bimatoprost well.
Prostaglandin Analogue Distinctions
This case illustrates a not-too-uncommon scenario that ophthalmologists encounter with many glaucoma patients: poor tolerability of beta blockers and more complicated treatment regimens, and better tolerability and greater IOP reduction with prostaglandin analogue therapy. Further, it shows that patients may have different responses to different agents within the prostaglandin class. In this case, the patient achieved greater IOP reduction with bimatoprost compared to latanoprost. Our results with this patient are consistent with the conclusions of a recent comprehensive review of 42 randomized clinical trials in 9,295 patients treated with one or more of the three prostaglandin analogues (bimatoprost, travoprost [Alcon] and latanoprost). The review found that while all three of these agents are effective in lowering IOP, bimatoprost provided the greatest reduction in most of the trials (across all trials, weighted mean IOP reductions of 26.7%, 28.7% and 30.3% were achieved for latanoprost, travoprost and bimatoprost, respectively).7
Clinically, given the cumulative evidence that adequate IOP reduction is protective against progression of glaucoma, it is optimal to lower IOP as much as possible. In the real world, however, there are barriers to this in terms of side effects, cost, risk of complications and adherence. Thus, it behooves physicians to take the time to find the therapy that lowers IOP most. While all of the prostaglandin analogues work fairly well on average, individual patient differences can be significant both in terms of IOP lowering and fluctuation with each drug. Statistically, the chances of achieving clinical success are high with bimatoprost; it should be considered as a firstline or switch agent when treating glaucoma patients. OM
References
1. Javitt JC, Chiang YP. Preparing for managed competition. Utilization of ambulatory eye care visits to ophthalmologists. Arch Ophthalmol. 1993;111:1034-1035.
2. Schappert S. Office visits for glaucoma: United States, 1991-92. Advance data from vital and health statistics. Vol. 262. Hyattsville, MD: National Center for Health Statistics, 1995.
3. Friedman DS, Wolfs RC, O’Colmain BJ, et al. Prevalence of open-angle glaucoma among adults in the United States. Arch Ophthalmol. 2004;122:532-538.
4. American Academy of Ophthalmology Glaucoma Panel. Preferred Practice Pattern: Primary open-angle glaucoma. American Academy of Ophthalmology, San Francisco, September 2005. Available at: http://www.aao.org/education/ library/ppp/poag_new.cfm.
5. Gurwitz JH, Glynn RJ, Monane M, Everitt DE, Gilden D, Smith N, Avorn J. Treatment for glaucoma: adherence by the elderly. Am J Public Health. 1993; 83:711-716.
6. Higginbotham EJ, Walt JG, Chiang TH, Guckian A. Number of prescription bottles as a factor affecting persistency in glaucoma. Presented at: Annual Meeting of the American Glaucoma Society; San Francisco; March 1-4, 2007.
7. Holmstrom S, Buchholz P, Walt J, Wickstrom J, Aagren M. Analytic review of bimatoprost, latanoprost and travoprost in primary open angle glaucoma. Curr Med Res Opin. 2005;21:1875-1883.
| Robert J. Noecker, M.D., M.B.A., is vice chair and director of the Glaucoma Service for the University of Pittsburgh Medical Center’s Eye Center in Pittsburgh. Dr. Noecker is also associate professor of ophthalmology for the University of Pittsburgh School of Medicine. Contact him at (412)-647-2152. |
|







