VISANTE OCT: ANTERIOR SEGMENT IMAGING AND BIOMETRY
Bringing a Versatile Tool To the Anterior Segment Surgeon
The Visante OCT system provides practical information across a multitude of applications.
By Roger F. Steinert, M.D.
As the images on previous pages illustrate, surgeons performing corneal refractive procedures are finding the Visante OCT system an invaluable tool for surgical planning and post-op assessment. The same applies to phakic IOL implantation. The system can be used to ensure adequate space between intraocular structures, to document lens vault and choose the appropriate implant size.
The Visante OCT system has many other clinically practical uses for the anterior-segment surgeon, including:
■ Angle assessment
■ Pachymetry
■ Glaucoma surgery evaluation
■ Evaluation of corneal transplant
■ Visualization of the sclera/suprachoroidal space
■ Identification of iris lesions
■ Evaluation of crystalline lens, pseudophakic IOLs.
Here, I explain some of these uses, beginning with corneal transplantation using the femtosecond laser. The Visante OCT has allowed us to rapidly improve our techniques by enabling us to see corneal incision cross-sections and better assess our results. As a result, deficiencies associated with the "top-hat" approach to penetrating keratoplasty became clear. The "zigzag" approach seems to be an effective alternative as it resists leakage and doesn't require sutures to be as tight.
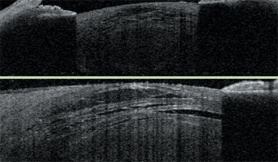
The Visante OCT provides a high-resolution image of the cornea and measurement of its dimensions after a "top-hat" approach to corneal transplant.
This is a high-resolution postoperative corneal scan of a "zigzag" transplant incision. The angling down, the lamellar cut and angling again are visible.
The Visante OCT also aids viewing of Descemet's-stripping endothelial keratoplasty (DSEK). The surgeon can see the interface and document the flap depth.
The pachymetry measurements and plots generated by the Visante OCT are as helpful for the glaucoma specialist as they are for the corneal refractive surgeon. It has become clear that accurate corneal thickness values are necessary for determining true IOPs and treating glaucoma patients appropriately.
Furthermore, the status of the anterior-chamber angle is highly relevant in the analysis of glaucoma. The Visante OCT provides fast and reliable data for evaluating narrow angles and the risk of closure. It objectively measures or will soon be capable of measuring:
■ The angle in degrees
■ Angle opening distance
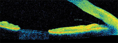
The Visante OCT is useful for determining if Descemet's-stripping endothelial keratoplasties are properly attached. This image also shows the inevitable meniscus-shaped cut and a relatively ragged trephine-induced edge.
Using the Visante OCT system to monitor Descemet's-stripping endothelial keratoplasties, surgeons have learned that the donor tissue typically continues to thin for approximately 3 months, affecting patients' vision. This image also shows the quantification of the donor tissue depth at various points.
This image shows an anterior-chamber angle as viewed with gonioscopy and the Visante OCT. The latter replaces subjective evaluation with objective measurement.
■ Angle recess area
■ Trabeculo-iris space area
■ Trabeculo-iris contact area.
The system offers an objective view following peripheral iridotomy or iridectomy. Compared with gonioscopy, the Visante OCT is nontechnical for the practitioner and comfortable for the patient. It produces minimal light artifact and provides automatic documentation. In addition, it doesn't produce pressure artifacts. A significant problem with gonioscopy is the pressure it puts on the cornea. That pressure can open or close the angle. The Visante OCT, I believe, is revolutionizing how we deal with this.
A narrow angle is apparent with Visante OCT imaging, in this case 9.5°.
An anterior-segment scan shows a patent peripheral iridectomy but also plateau iris syndrome.
This image shows peripheral anterior synechiae on gonioscopy and the Visante OCT.
The system also offers useful tools for planning glaucoma surgery, which is increasingly difficult in light of new approaches and devices. The ability to measure scleral thickness for proper dissections, which the system provides, is important. Postoperatively, the Visante OCT can be used to image scleral and suprachoroidal shunts as well as sub-conjunctival, superchoroidal and superciliary fluid.
Imaging illustrates a very narrow angle and the need for a lensectomy. The lensectomy accomplished the goal of a much more open anatomy.
The four-scan feature documents the extent and dimensions of an iris cyst.
The Visante OCT system is the first to provide clear, highly detailed, in-depth images of the anterior chamber, including dependable angle information, without the need for ocular anesthesia or a messy, time-consuming water bath.
Compared with ultrasound biomicroscopy (UBM), the noncontact OCT instrument is easier to use and acquires images more rapidly. A technician easily can learn to operate the device, including selecting the axis to examine or performing an automatic examination along the four meridians. Each screen and printout specifies right or left eye, and a triangular icon (nose) helps the operator remain oriented. An arrow indicates the direction of the cross-section, and the degree area — e.g., from 0° to 180° — it covers is listed.
This image shows cross-sections of iridoschisis and the associated "shredded" appearance of the iris.
On gonioscopy, it is difficult to determine if this iris tumor is in the angle. The Visante OCT confirms it is not and can be used to document if it has grown over time. Also, melanin shows up as a different color on the color map, which allows the tumor to be followed more closely.
This shallow suprachoroidal effusion, which may or not be seen with ultrasound, is obvious here. Fluid has accumulated in the periphery. The light penetration is not sufficient to pick up the ciliary processes, but the effusion, iris, angle and sclera are clearly visible.
The zonules are visible in this patient with no iris.
This image shows both low- and high-resolution images of a hypermature cataract. In the latter, clefts of water are visible inside the lens.
The Visante OCT has other advantages over UBM as well. It is wide-field versus narrow-field, and the patient can be sitting, rather than supine, during imaging. But unlike UBM, the current version of the Visante OCT uses 1310-nm light, which is blocked by pigment. However, the nonpigmented opaque ocular structures are permeable, and images can be obtained through a cloudy or white cornea, the conjunctiva and the sclera.
The system provides clinically useful information related to a long list of pathologies. The Visante OCT is useful for evaluating and managing cataract and IOL patients. The instrument images the crystalline lens within the pupillary space; measures cataract location and density; defines the anatomical layers of cataract; allows visualization of IOLs in the eye; measures anterior-segment dimensions precisely for placement of phakic IOLs; enables visualization of anterior segment changes due to accommodation and allows examination of corneal incision architecture.
The Visante OCT reveals anterior insertion of zonules in this case of lens calcification.
This image shows imaging and measurement of 7.16° of IOL tilt.
Visante OCT measures the space between the front and back optics of the Synchrony dual-optic accommodating IOL. The two different values, 0.58 mm and 0.66 mm, indicate that the optics are, indeed, moving.
These capabilities are especially helpful for planning challenging cataract cases, providing the surgeon with a better preview of what he or she is facing. For example, the instrument clearly images posterior polar opacity, and we are currently determining if we can use that information to precisely predict how posterior polar cataracts and the posterior capsule will act intraoperatively.
In our practice, we use the Visante OCT every day for numerous patients. I don't recommend performing refractive surgery without it. Overall, it is a unique tool that provides us with a wealth of new information that serves to improve patient care. OM
Some images and content courtesy of Iqbal K. Ahmed, MD







