MOVING FORWARD WITH CIRRUS HD-OCT
Added Capabilities in OCT Imaging
High speed, high-definition images offer new insights for managing the most challenging retinal cases.
By Warren Anderson, M.D.
Spectral domain imaging technology brings exciting new capabilities to OCT. The Cirrus HD-OCT instrument, for example, which utilizes this technology, will be commercially available this fall.
Stratus OCT is a proven retinal imaging modality and likely will remain the standard of care for most patients as validated in numerous clinical trials. Cirrus HD-OCT offers additional features, which may help us manage the most challenging cases while maximizing office efficiency. High definition images produce unprecedented fine detail with accurate retinal topography. With this technology, we can determine the precise location of these scans from the high-quality line-scanning laser ophthalmoscope fundus image displayed during scan acquisition in an operator-friendly interface.
Furthermore, with fast scanning, we can image a retinal volume with uniform sampling of a 6 × 6 × 2 mm region, ensuring no skipped areas. Scan data can be portrayed as a reconstructed fundus image to allow registration with past studies. What's more, thanks to advanced software, the retinal layers in a scan volume are depicted as surfaces providing insight into conditions involving the internal limiting membrane or retinal pigment epithelium (RPE), as well as permitting precise retinal volume calculations.
The enhanced structural detail, volumetric rendering and quantitative analysis made possible by spectral technology in the Cirrus HD-OCT instrument hold great promise for a new understanding of the pathogenesis of some retinal diseases. The Cirrus HD-OCT is likely to provide confidence and reliability in assessing the outcomes of evolving surgical solutions and pharmacotherapies. OM
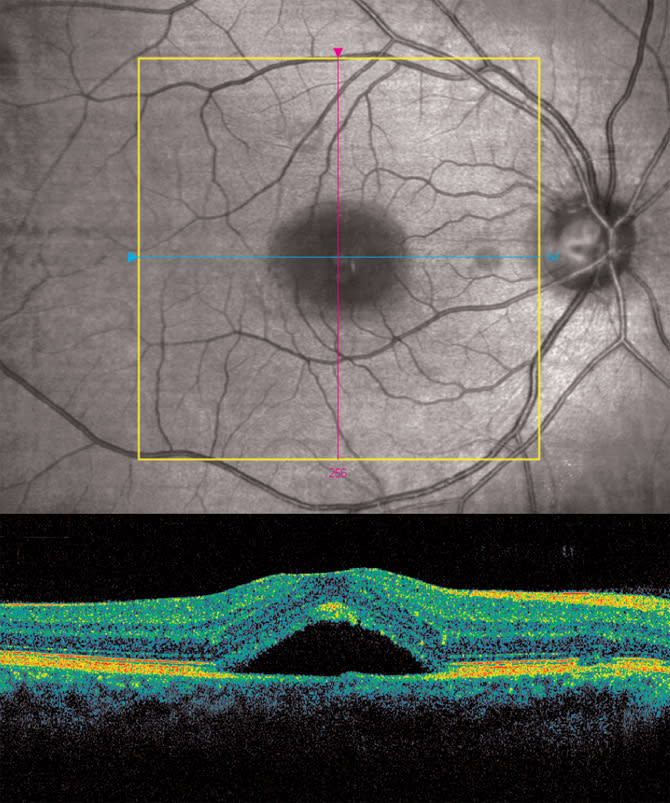
Subretinal fluid of central serous chorioretinopathy is visualized.
On the left, the internal limiting membrane (ILM) demonstrates the inner retinal contour, while on the right, the ILM has been peeled away to reveal the RPE.







